about the project
introduction
about us
why redox proteins?
antibody sources
antibody validation
animals and tissue preparation
immunohistochemistry
quality assurance
credits
disclaimer
impressum
tissues
central nervous system
sensory organs
digestive system
reproductive organs
urinary system
metabolic organs
muscle
miscellaneous organs
redox proteins
glutaredoxin 1 - Grx1 - GLRX
glutaredoxin 2 - Grx2 - GLRX2
glutaredoxin 3 - Grx3/PICOT - GLRX3
glutaredoxin 5 - Grx5 - GLRX5
gamma glutamyl cysteine lyase - gGCS - GCLC
peroxiredoxin 1 - Prx1 - PRDX1
peroxiredoxin 2 - Prx2 - PRDX3
peroxiredoxin 3 - Prx3 - PRDX3
peroxiredoxin 4 - Prx4 - PRDX4
peroxiredoxin 5 - Prx5 - PRDX5
peroxiredoxin 6 - Prx6 - PRDX6
thioredoxin 1 - Trx1 - TXN
thioredoxin 2 - Trx2 - TXN2
thioredoxin reductase 1 - TrxR1 - TXNRD1
thioredoxin reductase 2 - TrxR2 - TXNRD2
nucleoredoxin - Nrx - NXN
links
terms of use
image usage policy
references and citation
you are here: ../
data
/
sensory organs
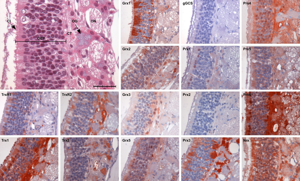
/ nose / olfactory epithelium - 50 x
Legend:
CI, cilia; ON, olfactory nerve; OEP, olfactory epithelium; CT, connective tissue; OG, olfactory glands (Bowman`s glands). Objective: 50x, scale bar: 25 µm.
© José Godoy and Christopher Horst Lillig, 2010